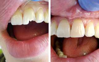
В вопросе пломбирования наиболее важным является вопрос реставрации анатомии передних зубов. Ведь именно они находятся у всех на виду. Для пациента большое значение имеет не только восстановление функциональности зубов, но и их эстетичность. Ведь качественная пломба и работа, выполненная на совесть, позволит избежать ситуации, когда болит после пломбирования передний зуб и при этом сохранится максимально красивая улыбка, какую можно увидеть на фото.
Материалы для изготовления
Выбор материала для осуществления пломбирования передних зубов играет очень важную роль. Это можно считать самым важным элементом в проведении процедуры, ведь этот материал должен обладать особыми свойствами.
Важно: Вследствие сильной нагрузки на передние зубы, такое свойство материала как усадка в момент жевания не особо важно. Но зато наиболее важной характеристикой таких пломб является косметический эффект.
Именно поэтому для воссоздания фронтальных зубов выбирают материал с эффектом светового отверждения, который дает возможность подобрать максимально подходящий тон под естественный зубной цвет. Для того чтобы наиболее приближенно воссоздать оттенок, проводят процедуру подбора в специально оборудованном кабинете колористики.
Преимуществами этого материала являются:
- повышенная эстетичность, которая обеспечивает визуальное сходство с эмалью, как по структуре, так и по цвету;
- плотность прилегания обеспечивается настолько точная, что простоит такая пломба долго и обеспечит необходимую защиту зуба от различных воздействий;
- она очень удобна в работе и позволяет добиться любых необходимых форм.
Более качественный результат получается при использовании безметалловой керамики Impresso. Пломба, изготовленная из этого материала, совершенно не отличается от собственного зуба. Кроме того ей присущи такие свойства как стойкость к воздействию табака, различных красителей, шипучих напитков. Однако применение этого материала предусматривает свои особенности, такие как изготовление в условиях специализированного кабинета по слепку, который был снят ранее. А, следовательно, используют пломбу из этого материала в случаях сильных повреждений.
Врачи-стоматологи утверждают, что установка пломбы на передний зуб вполне возможна и является распространенной практикой. Современные материалы, такие как композитные смолы, позволяют добиться эстетичного результата, который практически не отличим от естественного цвета зуба. Специалисты отмечают, что передние зубы требуют особого подхода, поскольку они находятся на виду и подвержены значительным нагрузкам при жевании и разговоре.
Важно учитывать, что качество пломбы зависит не только от материала, но и от квалификации стоматолога. Правильная техника нанесения и полировки пломбы обеспечивает долговечность и комфорт. Врачи рекомендуют своевременно обращаться за помощью при появлении кариеса или других повреждений, чтобы избежать более серьезных проблем в будущем. Таким образом, установка пломбы на передний зуб — это не только возможная, но и эффективная мера для сохранения здоровья и эстетики улыбки.

Способ изготовления пломбы
Если для того, чтобы изготовить пломбу на передний зуб используется композит, который тянется, то его устанавливают непосредственно в поврежденную полость и высушивают при помощи специальной лампы.
Вкладная пломба, которая восстанавливается из слепка, снятого ранее с зуба, имеет твердую структуру. Она может быть выполнена из композитов или керамики.
Внимание: Такая пломба обеспечивает не менее качественное укрепление, чем обычная.
Вкладки можно выполнять не только в лабораториях, но и используя аппарат Cerec. Этот аппарат воссоздает трехмерную модель пораженного участка и по полученной модели происходит изготовление и шлифовка заготовки. Эта современная технология отличается высокой точностью и быстротой получения результата.
Очистка зубов
Для того, чтобы максимально приближенно восстановить необходимый цвет, очень важно то где и как проводится восстановление. Кабинет, где осуществляется процедура, должен иметь белые стены и специальные лампы. Очень важно также максимально очистить эмаль до естественного цвета. Самым быстрым и безвредным считается методика Аir flow, которая осуществляется под давлением смеси. Процедура отбеливания достигается за счет снятия налета и зубного камня без какого-либо химического вмешательства. Здесь одновременно решается сразу две проблемы — отбеливание и профилактика последующих заболеваний.
Читайте также: Какие зубные пломбы лучше?
Многие люди задаются вопросом о возможности установки пломбы на передний зуб, и мнения по этому поводу разнятся. Некоторые стоматологи уверяют, что это вполне реально и может быть выполнено с использованием современных материалов, которые обеспечивают эстетичный вид и долговечность. Пломбы на передних зубах могут быть выполнены из композитных смол, которые идеально подбираются по цвету, что позволяет сохранить естественный внешний вид улыбки.
Однако есть и те, кто сомневается в этом. Они утверждают, что пломбы на передних зубах могут быть менее устойчивыми к нагрузкам и более заметными со временем. Кроме того, важно учитывать, что качество работы стоматолога и соблюдение рекомендаций по уходу играют ключевую роль в долговечности пломбы. В конечном итоге, решение о пломбировании переднего зуба должно приниматься индивидуально, с учетом состояния зуба и пожеланий пациента.

Видео: что такое пломба?
https://youtube.com/watch?v=AKMfdZ7emMo
Вопрос-ответ
Можно ли поставить пломбу на передний зуб?
Показания к установке пломбы на передний зуб Проводится реставрация при наличии таких показаний: Межзубный промежуток (щербинка). Неровности зубного ряда.
Можно ли запломбировать передний зуб?
Наиболее распространенным способом лечения кариеса передних зубов является пломбирование . Из-за расположения зубов большинство стоматологов предпочитают пломбировать их фарфоровыми или композитными материалами. Эти материалы могут соответствовать цвету остальной части зуба.
Сколько стоит пломба на передний зуб?
В клиниках премиум-класса лечение зуба с установкой световой пломбы может стоить от 6000 рублей. Стоимость установки пломбы на передние зубы может также быть выше в силу большей сложности реставрационных работ. Стоимость эндодонтического лечения (пломбировка каналов) стартует от 5000 рублей.
Сколько держится пломба на переднем зубе?
Сколько держится пломба на передних зубах Это зависит от особенностей организма пациента, однако средний срок качественной пломбы — от семи лет. Чем тщательнее будет гигиена полости рта, тем дольше пломбировочный материал будет сохранять свои функции.
Советы
СОВЕТ №1
Перед тем как принимать решение о пломбировании переднего зуба, проконсультируйтесь с опытным стоматологом. Он сможет оценить состояние зуба и предложить наилучший вариант лечения.
СОВЕТ №2
Обратите внимание на материал пломбы. Для передних зубов лучше выбирать эстетически привлекательные материалы, такие как композитные смолы, которые могут быть окрашены в цвет зуба и выглядят более естественно.
СОВЕТ №3
После установки пломбы следите за гигиеной полости рта. Регулярная чистка зубов и использование зубной нити помогут предотвратить дальнейшие проблемы с зубами и сохранить пломбу в хорошем состоянии.
СОВЕТ №4
Не забывайте о регулярных визитах к стоматологу для профилактических осмотров. Это поможет выявить возможные проблемы на ранней стадии и избежать необходимости в более сложных процедурах.